Hepamix 3xBiotics contains pollen which is considered the most complex food/food supplement. It brings a lot of energy containing almost all nutrients required by the human body (bioactive compounds, vitamins, minerals, essential fatty acids, carotenoids, flavonoids). Pollen can be considered as a “whole pharmacy”.
Clinical effects of pollen:
- reduces acute and chronic inflammation;
- has strong antioxidant effect, superior liver protector, antimicrobial effect;
- anti-allergic effect by inhibiting mast cells;
- stimulates the immune system;
- fights anemia, increases appetite, useful in convalescence;
- combat the symptoms of menopause and breast cancer;
- increases mental capacity;
- one of the most powerful anti-stress products;
- has local analgesic and inflammatory effect;
- prevents infection;
- increases metabolism and regulates hormones.
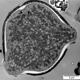
The only problem until now was that we couldn’t benefit of all these nutrients from pollen due to the Sporopollenin, a biopolymer with extremely high stability and very high resistance to biodegradation (including to the action of digestive enzymes and it is present in exine composition – the rigid outer layer of pollen) which is the indestructible wall of the pollen grains.
We have a unique innovative biotechnology for “breaking” the pollen grain wall which gives us access to the miraculous polyfloral pollens content.

Bacteria and yeasts fermentation biotechnology of the polyfloral pollen penetrates the Sporopollenin and riches the content of the pollen grains.
Bacteria and yeasts cells consortium, which are developing on clusters on the surface of pollen exine, promote the formation of small pores, by oxidative degradation of sporopollenin matrix.
Our morphological and ultrastructural analysis demonstrated that, through the pollen fermentation process in presence of bacteria and yeasts cells consortia, there are modifications of external membrane and a release of pollen grains content, increasing their bioavailability.
Tri-biotic products represent a new trend in dietary supplement domain.
Let’s have a closer look to what 3xBiotics means…
- Probiotic bacteria:
Probiotics is the term that refers to the friendly or beneficial bacteria that reside in the human gastrointestinal tract. It is now understood that a healthy microbiome, which consists of an overwhelming majority of beneficial probiotic bacteria, is one of the most fundamental aspects of good health.
- Prebiotic Foods:
For your probiotic bacteria to thrive and survive, they must be fed well. The type of nourishment or nutrition that probiotic bacteria prefer and require are classified as prebiotic foods. The most important category of prebiotic foods are the fiber-rich, multi-colored vegetables, followed by leafy greens and multi-colored fruits. A higher diversity of different strains of probiotic bacteria in the intestinal tract equates to better health. The most important and most effective way to create and maintain a diverse microbiome is to feed your probiotic bacteria with a highly diverse, fiber-rich diet. It is not just the quantity of dietary fiber that is important. To maintain a highly diverse microbiome, you must supply your probiotic bacteria with a highly diverse, fiber-rich diet. This means it is best to consume many different kinds of fiber-rich vegetables, fruits and leafy greens every day.
- Postbiotic Metabolites:
The metabolic processes of bacteria result in the production of wide range of compounds referred to as postbiotic metabolites. Pathological bacteria are “bad” because they secrete postbiotic metabolites that are highly inflammatory and toxic to us. However, probiotic bacteria produce postbiotic metabolites that have a wide range of health-regulating effects. Examples of postbiotic metabolites include B-vitamins, vitamin K, amino acids, neurotransmitters, short-chain fatty acids, organic acids, enzymes, natural antibiotics, antioxidants, anti-inflammatory compounds, glutathione, fulvic acids and phenyl lactic acid.
During the last 100 years, due to multiple factors, but especially those related to the chemical-pharmaceutical industry, there has been a change in the normal flora of the soil, plants, insects, animals and humans, creating negative effects therefore the need to apply tri-biotic treatments for restoring the flora.
Kombucha cultures we use for preparing HEPAMIX 3xBiotics contains pre, pro and post biotics, which ensure the restoration of eubiosis in the digestive tract.
Its composition is the following:
- Bacteria: Bacterium gluconicum, Bacterium xylinum, Acetobacter xylinum, Acetobacter xylinoides, Acetobacter ketogenum, Acetobacter aerobic, Pediococcus anaerobic, Lactobacillus aerobic, Bifidobacterium, in symbiosis with:
- Yeasts: Saccharomyces boulardii, Saccharomycodes ludwigii, Saccharomycodes apiculatus, Schizosaccharomyces pombe, Zygosaccharomyes, Saccharomyces cerevisiae, Brettanomyces.
Bacteria and yeasts are probiotics essential for optimal digestion of food and absorption of nutrients, and they help your body produce vitamins, absorb minerals and aid in the elimination of toxins.
Besides the ability to destroy polyfloral pollen grains membrane with the release of a full range of nutrients with active therapeutic principles that will behave like a prebiotic, the harmonious symbiosis of these bacteria and yeasts will also significantly increase the number of lactic bacteria as well as their increased adherence to intestinal mucosal epithelium, ultimately leading to an improvement in the digestion process with an increase in nutrients absorption.
- Organic acids perform multiple roles in the body, such as:
- Acetic acid: regulates blood pressure, detoxifying action, liver protection, fights against liver steatosis, anti-cholesterol effect, antimicrobials and antiparasitic effects, improves digestion, hemostatic effect, promotes “Qi” energy flow.
- Gluconic acid: adjusts Ph, antibacterial, antifungal;
- Glucuronic acid: anti-inflammatory effect;
- Citric acid: antibacterial, antifungal;
- L-lactic acid: improves digestion, antifungal, anticancer;
- Malic acid: reduces ischemic sequelae, reduces blood pressure, reduces pain caused by fibromyalgia;
- Tartaric acid: antioxidant, stimulates and improves digestion;
- Malonic Acid: antifungal effect;
- Succinic acid: increases stress resistance, improves nervous system function, anti-inflammatory effect, improves the immune system, antitumoral effect, reduces toxicity, prevents aging, intensifies the action of vitamins and drugs;
- Pyruvic acid: an important role in the Krebs cycle;
- Usnic acid: is a powerful antibiotic, has antiviral, antimycotic, antiprotozoal, anti-inflammatory and analgesic properties;
- Enzymes have multiple roles, such as:
- Glutathione-S-transferase: antioxidant, anticancerogenic, improves digestion, detoxifier activity (produces a liver reaction that helps toxic compounds become more water soluble to be eliminated from the body);
- Glutathione peroxidase: intracellular antioxidant, maximizes the role of vitamins;
- Glutathione reductase: antioxidant, antitumoral;
- Catalase: antioxidant;
- Superoxide dismutase: antioxidant, anti-cancer, anti-inflammatory, slows aging and protects against UV radiation;
- Minerals have many beneficial effects as follows:
- Soluble silicon: Information-based semiconductors help to fix calcium in the bones, stimulate collagen synthesis, role in maintaining the health of bones, teeth, joints, skin, nails, hair, normalizing blood pressure, strengthens the immune system, regulates calcium metabolism;
- Manganese: antioxidant, increases the use of vitamin B1 and vitamin C, regulates glycemic level, can prevent osteoporosis and slows its progress, acts as a vasodilator, helps in good functioning of the liver, alleviates symptoms of premenstrual syndrome (PMS), improves digestion;
- Iron: vital component of red blood cells, role in preventing anemia and in good functioning of human metabolism;
- Copper: antioxidant, increases the use of iron in the blood, reduces the action of free radicals on tissues, an important role in the prevention of allergies, AIDS, leukemia, osteoporosis and gastric ulcer;
- Zinc: anticancer (role in the prevention of malignant melanoma), hormonal balance, immunostimulant, antidiarrheal, prevents the occurrence of hyper-emotivity and hyperactivity, improves the intellectual performances, rejuvenates the skin, improves potency, prevents premature andropause, normalizes the stimulation of sexual appetite, testosterone and insulin production, increases spermatogenesis, anti-aging, psychic tonic, prevents heart rhythm disorders, fights against benign prostate adenoma, present in many enzymes.
- Cobalt: together with iron is an effective anti-anemic agent, vasodilating properties, maintains the integrity of the nervous system;
- Chromium: improves digestion, a role in the metabolism of carbohydrates, fat and protein, anti-cholesterol-lowering effects, helps to fix calcium in the bones;
- Magnesium plays a role in the metabolism of carbohydrates, lipids and proteins, of some hormones; antioxidant; role in the metabolism of vitamin C and minerals such as phosphorus, sodium and potassium; an important role in calcium fixation in the bones and muscle contraction, improves the functioning of the nervous system, participates in maintaining a healthy cardiovascular system, glycemic normalization, anti-cholesterol effects, influences the regulation of intestinal transit and blood coagulation, is a general tonic, is a growth factor, cellular, hepatic drencher, interferes with energy metabolism in active membrane transport;
- Potassium plays a role in: muscle contraction and nerve function, storage of carbohydrates used as fuel by the muscles, nervous system function, helps to prevent cerebral attack and correct contraction of the muscles and acts together with sodium to maintain the balance hydro-electrolytic in the body, is important for the chemical reactions inside the cells and helps maintain blood pressure, maintaining a healthy cardiovascular system.
- Vitamins:
- Thiamin (B1)
- Riboflavin (B2)
- Niacin & Niacinamide (B3)
- Pantothenic Acid (B5)
- Pyridoxine (B6)
- Biotin (B7)
- Folic Acid (B9)
- B-12
- Vitamin C
These vitamins have a much higher bioavailability compared to synthetic vitamins, even if the amounts are not very high (except vitamin C which is 6 times more than in orange juice). Let’s not forget that the whole is greater than the sum of its parts. The presence of the vitamin B complex (especially B12) is beneficial to those on a vegan diet.
As you can see, the culture medium in which pollen fermentation takes place already comes with a wide variety of beneficial nutrients, to which are added those obtained by “breaking” the granules of pollen.
Bee pollen fermentation biotechnology with symbiotic micro-organisms cultures is a dynamic process which increases the bioavailability of pollen compounds and adds specific bioactive compounds of the Kombucha cultures in the final product, generating a complex nutraceutical product.
The 3xBiotic effect of fermented pollen in synbiotic microorganisms cultures:
- the prebiotic effect is conferred by the bioactive carbohydrates and fibers (especially insoluble fibers) content;
- the probiotic effect due to the live beneficial microorganisms from synbiotic microorganisms cultures;
- the postbiotic effect that is determined by the probiotic microorganisms metabolic products (short chain fatty acids).
The Energy Characteristics of Hepamix 3xBiotics.
Everything in universe is energy.
Energy medicine gains ground, both in diagnosing patients and treating them. Current technologies increasingly use the theories of quantum physics, and new research shows that including neural communication is through bio-photons emissions.
That is why we made determinations of the energy of Hepamix 3xBiotics raw material and of the patients who consume it.
Energy proved by Kirlian Electrophotography
We used Hepamix 3xBiotics powder (“living matter”) and we compared it with talc (“dead matter”).
Patient M.A. 36 years old, M, 2 capsules of Hepamix 3xBiotics

Start a new and healthier life today, thanks to the HEPAMIX 3xBiotics supplement.

